二尖瓣反流是發生率最高的心臟瓣膜疾病,隨著人口老齡化進程,發病率呈逐年上升趨勢。傳統外科采用的二尖瓣置換術需要心臟停跳進行體外循環,具有創傷大、風險高等危險因素;而經導管二尖瓣緣對緣修復技術(Mitraclip),是一種經導管介入途徑治療二尖瓣反流(MR)的技術,西方循證醫學證據已證實應用Mitraclip治療二尖瓣反流有效且安全。
近日,北京中醫藥大學東直門醫院心血管科四區主任郭煒華團隊在院領導班子的帶領下,聯合介入中心主任陳光利、李曉明護士長團隊、麻醉科手術室主任劉國凱團隊、醫學影像科主任王寧團隊等多學科通力協作,應用Mitraclip技術成功救治一例中大量反流患者,打破舊的開胸傳統,應用微創技術修補心臟,為二尖瓣反流患者帶來了“心”的希望!
既往病史
76歲Z大爺(化名),間斷胸悶憋氣3年有余,近20天逐漸加重,加之伴隨多年高血壓病史,嚴重時喘憋難以平臥,遂前往當地醫院進行住院治療,檢測顯示CTNI升高;冠脈造影檢查提示前降支30%狹窄;鈍緣支70%狹窄;心臟彩超提示左心大(33*47*72mm),左心功能減低(EF 30%),主動脈瓣輕度反流、三尖瓣輕度反流、二尖瓣大量反流、室壁運動不協調、心包積液,診斷為“急性冠脈綜合征冠心病”。因在其治療期間發現陣發房顫,為求系統治療,Z大爺在家屬陪同下慕名前往東直門醫院心血管病科四區進行心臟瓣膜病治療。
術前診斷

入院后,郭主任根據患者病情精心組織協調,有針對性的開展術前討論會。心血管科四區宋彥春主任醫師,心臟大血管外科執行主任崔華楠、李寒副主任醫師,楊婭超聲工作室負責人楊婭,醫學影像科主任王寧超聲團隊,麻醉科手術室主任劉國凱團隊等醫護人員積極參與患者術前討論。

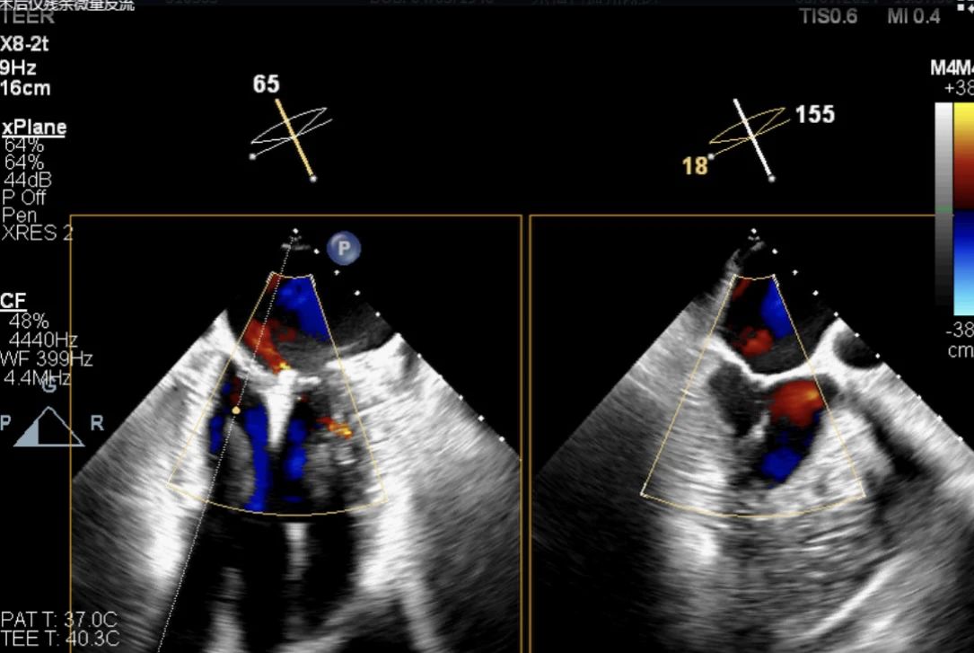
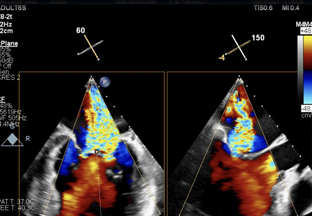
術前經食道超聲提示以P2區為主的二尖瓣中大量反流 術前心臟超聲結果
高質量的TEE圖像對于手術成功至關重要。楊婭主任分析了患者的心臟結構特點,同時聯合醫學影像科主任王寧團隊進行食道實時三維評估,術前充分評估反流量,反流位置,瓣口面積,瓣葉情況。實際發現反流量4+,主要以P2區為主,瓣口面積5.42cm2。
劉國凱主任帶領的麻醉團隊,充分評估患者術前情況,制定了詳細的麻醉方案。
經過綜合評估,郭煒華主任制定了詳細全面的手術方案,在征求家屬意愿后擇期為該患者行Mitraclip治療。
手術經過
術前,宋彥春主任醫師詳細向主管醫師們告知患者術前術后的注意事項,并再次與家屬溝通充分告知病情及后續的協調事宜。在團隊成員及各兄弟科室的充分準備下,手術有條不紊的進行。

術中,通過股靜脈穿刺進入右心房,準確把握房間隔高度,通過穿刺高度4.1cm,到達左房,調整夾子位置后進行軌道測試和orientation位置調整;捕撈瓣葉,進行鉗夾,評估鉗夾情況同時進行實時超聲評估,順利鉗夾成功。手術僅用時2小時,通過植入1枚夾子,成功解決了困擾患者3年多的問題,同時規避了傳統外科手術的極高風險,臨床療效顯著。

術后僅殘余微量反流
術后康復

術后患者的生命體征迅速穩定,心功能得到顯著改善。在心血管科四區醫護團隊的精心護理下,充分發揮中西醫結合優勢,配合耳針、穴位貼敷等多種中醫療法,促進患者痊愈,目前患者恢復情況良好,現已出院。
北京中醫藥大學東直門醫院緣對緣修復技術(Mitraclip)手術的順利開展,離不開醫院各科室同仁的精密配合,心血管科四區團隊不畏挑戰,積極探索,將“心”技術、“心”方案扎根在城市副中心的大地上,為廣大心血管疾病患者帶來新福音。